Oberösterreicher

Haare IM Hals: Grausiger Nebeneffekt für Raucher

Husten, Schleim und Raucherbein - wer glaubt, alle üblen Nebenwirkungen des Rauchens zu kennen, wird jetzt von einem Oberösterreicher des Besseren belehrt. 

Was wie eine Szene aus einem Horrorfilm wirkt, ist tatsächlich wahr: Ein heute 52-jähriger Oberösterreicher leidet an einem seltenen Nebeneffekt, der durchs Rauchen entstanden ist. Dem Mann wuchsen Haare im Hals! Über den außergewöhnlichen Fall wurde dieser Tage im American Journal of Case Reports berichtet. 

5-10 Zentimeter lange Haare

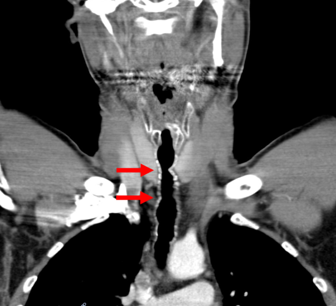
"Wir stellen einen Fall einer erfolgreichen endoskopischen Behandlung von intratrachealem Haarwuchs bei einem rauchenden Patienten vor", wie es im American Journal of Case Reports wörtlich heißt. Der betreffende Patient war mehr als dreißig Jahre lang Raucher, das erste in seinem Hals gewachsene Haar spuckte er 2006 aus. Seither wurde an ihm eine Reihe von Tests und Untersuchungen durchgeführt.

Raucherhaareimhals
© American Journal of Case Reports

Haarwurzeln restlos verödet

Forscher fanden heraus, dass der Haarwuchs einst durch das Rauchverhalten des Oberösterreichers ausgelöst wurde. Die fünf bis zehn Zentimeter langen Haare im Hals wurden seit ihrer Entdeckung mehrmals entfernt, bis die Wurzeln vor kurzem endgültig verödet werden konnten. Dass seither keine Haar mehr nachwuchsen, dürfte auch dem konsequenten Rauchstopp des Patienten geschuldet sein.

Fehler im Artikel gefunden? Jetzt melden.
OE24 Logo
Es gibt neue Nachrichten