Schmerzhaft

Ärzte finden Gold im Knie einer 65-Jährigen

Eine 65-jährige Frau in Südkorea suchte wegen massiver Kniebeschwerden Hilfe im Krankenhaus. 

Was Ärzte dabei auf den Röntgenbildern fanden, sorgt für Diskussion: Hunderte kleine Fäden aus reinem Gold, die in ihrem Gewebe steckten.

Ein langer Leidensweg

Die Patientin litt seit Jahren an Arthrose in den Knien. Schmerzmittel, entzündungshemmende Präparate und sogar Spritzen mit Kortison halfen nicht ausreichend. Im Gegenteil: Durch die Medikamente bekam sie massive Magenprobleme. In ihrer Verzweiflung wandte sie sich an die alternative Medizin und probierte eine Methode, die in Asien noch immer Anhänger hat – die sogenannte Goldfaden-Akupunktur.

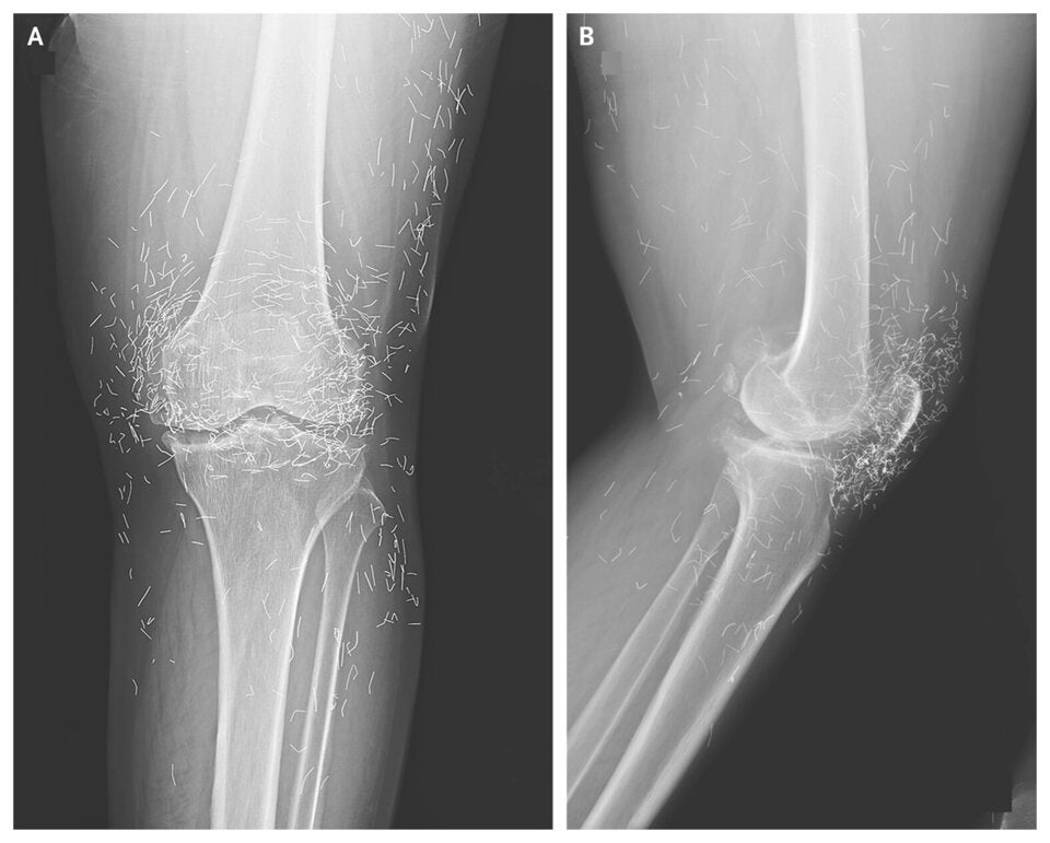
Röntgenaufnahme eines Knies mit auffälligen Fremdkörpern im Gewebe – Ärzte fanden Hunderte winzige Goldfäden. 

Röntgenaufnahme eines Knies mit auffälligen Fremdkörpern im Gewebe – Ärzte fanden Hunderte winzige Goldfäden. 

© New England Journal of Medicine
 

Bei dieser Behandlung werden winzige sterile Fäden aus Gold in die Haut gestochen. Die Frau begann mit wöchentlichen Sitzungen, bald ging sie mehrmals pro Woche. Doch statt Linderung erlebte sie das Gegenteil: Die Schmerzen wurden immer schlimmer. Schließlich konnte sie nicht mehr und kehrte in die Klinik zurück.

Überraschung auf den Röntgenbildern

Die Ärzte stellten nicht nur die typischen Anzeichen einer fortgeschrittenen Arthrose fest – also knöcherne Verdickungen und Verhärtungen –, sondern auch mehrere hundert winzige Goldfäden im Gewebe rund um das Knie. Die Fachleute warnten, dass diese Methode nicht nur ohne nachgewiesenen Nutzen sei, sondern auch gefährlich sein könne.

Viele vertrauen auf die Goldfaden-Akupunktur, auch in den Füßen diverser Patienten fand man Goldfäden nach der Behandlung.

Viele vertrauen auf die Goldfaden-Akupunktur, auch in den Füßen diverser Patienten fand man Goldfäden nach der Behandlung.

© Live Science

Die Fäden können im Körper wandern, Zysten verursachen und Gewebe schädigen. Besonders kritisch: Bei einer Magnetresonanztomografie (MRT) können sie verrutschen und Blutgefäße verletzen. Damit wird eine wichtige Untersuchung, die Leben retten kann, erschwert oder sogar unmöglich.

Warum die Methode trotzdem genutzt wird

Goldfaden-Akupunktur hat in mehreren Ländern Asiens Tradition. Sie wird vor allem älteren Menschen als dauerhafte Schmerztherapie angeboten. Die Idee dahinter: Das Metall soll im Körper einen anhaltenden Reiz setzen und so Schmerzen lindern. Doch wissenschaftliche Beweise für eine Wirkung gibt es nicht. Ärzte warnen sogar, dass Betroffene oft wichtige Therapien hinauszögern und sich die Krankheit dadurch verschlimmert.

Fehler im Artikel gefunden? Jetzt melden.
OE24 Logo
Es gibt neue Nachrichten