Bereits im Ansatz

KI entdeckte Brustkrebs 4 Jahre vor Entstehung

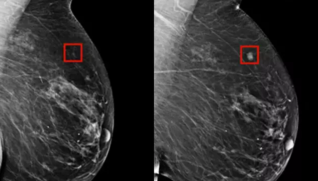
Ungarische Ärzte haben ein Modell der künstlichen Intelligenz eingesetzt, das als computergestützte Erkennung bezeichnet wird, und es gelang ihnen, einen Brustkrebs vier Jahre vor dessen Entstehung zu erkennen.

Die so genannte computergestützte Erkennung identifiziert Flecken in Mammographien, die die Ärzte genau untersuchen müssen. In einer MIT-Studie wurde festgestellt, dass die Technologie in der Lage ist, Veränderungen zwischen Mammogrammen zu erkennen und Flecken zu entdecken, bei denen das Risiko besteht, dass sie sich zu Krebs entwickeln. Die erkannten Stellen entwickelten sich erst Jahre später zu Brustkrebs.

Die KI ist ein Werkzeug, mit dem Radiologen bessere Behandlungspläne erstellen können, erklärte Larry Norton, MD, medizinischer Leiter des Lauder Breast Cancer am Memorial Sloan Kettering Cancer Center, gegenüber CNN. Nach der Identifizierung der Problemzonen können Radiologen bestimmen, welche zusätzlichen Tests für die Patientinnen geeignet sind, um die Wahrscheinlichkeit der Krebsentwicklung zu verringern.

Fehler im Artikel gefunden? Jetzt melden.
OE24 Logo
Es gibt neue Nachrichten