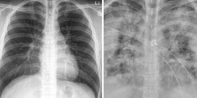
Wie groß der Unterschied punkto Lungenschäden zwischen Corona-Geimpften und Ungeimpften sein kann, zeigen zwei Röntgenbilder.
Mögliche Ansteckungen mit dem Coronavirus Sars-CoV-2 verhindert die Impfung zwar nicht vollständig, aber sie schützt vor schweren Verläufen. Nur vereinzelt wurden auch schwere Verläufe und Tote gemeldet. Aber sicher ist: Die Impfung schützt. Denn wer sich trotz Immunisierung infiziert, wird in der Regel sehr viel seltener einen schweren Verlauf erleiden als eine ungeimpfte Person.
Experten gehen davon aus, dass der Anteil derer, die trotz vollständiger Impfung schwer erkranken, bei der Delta-Variante etwas größer ist als noch bei der bis vor kurzem dominanten Alpha-Mutante.
Unterschied Geimpfte und Ungeimpfte
Wie groß der Unterschied punkto Lungenschäden zwischen Geimpften und Ungeimpften sein kann, zeigen zwei Röntgenbilder:
Yes. You can get COVID after vaccination but it’s typically mild disease
— Faheem Younus, MD (@FaheemYounus) July 18, 2021
With Without
Vaccination Vaccination pic.twitter.com/GIcb5mJQz9
Auf den Röntgenaufnahmen, die Faheem Younus, Leiter der Abteilung "Infectious Diseases" an der University of Maryland, auf Twitter geteilt hat, sieht man zwei Lungen, die sich deutlich unterscheiden. In beiden Fällen stammen die Bilder von einem Covid-19-Patienten. Auf der einen Aufnahme sind deutlich mehr helle Schatten zu sehen als auf der anderen. Das Röntgenbild zeigt die Lunge einer ungeimpften Person. Bei den weissen Schatten handelt es sich um sogenannte Milchglastrübungen, welche entstehen bei Entzündungen der Lunge.
Anfang des Jahres, schlug auch die Ärztin, Brittany Bankhead-Kendall, Alarm: "Nach einer überstandenen Covid-Erkrankung sehen Lungen schlimmer aus als jede Raucherlunge, die wir je gesehen haben."
Es zeigen sich dramatischen Unterschiede zwischen einer gesunden Lunge und einer Post-Covid-Lunge.