Coronavirus

Studie: Corona zerstört Gehirnzellen, Lunge erholt sich

Patienten berichten immer wieder über Symptome wie Verwirrtheit und Delirium.

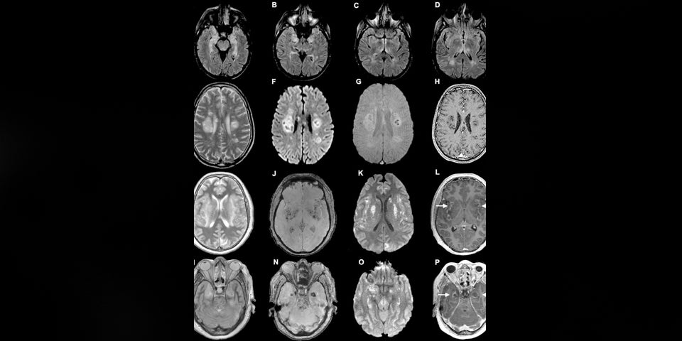
Coronaviren können auch das Gehirn angreifen, wie eine neue Vorab-Studie (noch nicht durch Fachkollegen geprüft) der Universität Yale, berichtet. Das Virus dringe in die Zellen ein und entzieht ihnen den Sauerstoff. Als Folge davon sterben die Zellen ab.

Allerdings komme es relativ selten zu einer derartigen Infektion des Gehirnes, so die Forscher. "Wenn das Gehirn aber infiziert wird, kann das tödlich enden", sagt Akiko Iwasaki von der Yale Universität. Sie forschte mit Kollegen an Gehirnen von verstorbenen Covid-19-Patienten. 

Lunge kann sich erholen

Doch es gibt auch gute Nachrichten für Corona-Patienten: Ein Team der Innsbrucker Univ.-Klinik für Innere Medizin II rund um deren Direktor Günter Weiss hat in einer Studie mit 86 Corona-Patienten festgestellt, dass ein Großteil der durch die Krankheit ausgelösten Lungenveränderungen reversibel ist. 55 Prozent der hospitalisierten Covid-19-Patienten würden aber auch noch sechs Wochen nach der Krankenhausentlassung körperliche Beeinträchtigungen zeigen.
Fehler im Artikel gefunden? Jetzt melden.
OE24 Logo
Es gibt neue Nachrichten