Ärzte rätseln

Frau (29) wachsen Haare auf den Zähnen

Jungen Italienerin wachsen Haare, die Ärzte stehen vor einem Rätsel.

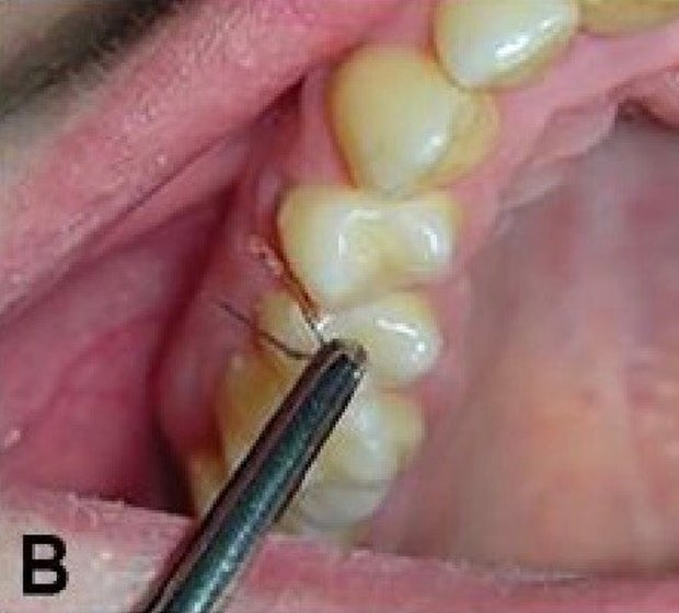
Ein äußerst kurioser Fall beschäftigt derzeit Mediziner in Italien. Einer 29-jährigen Frau wachsen tatsächlich Haare auf den Zähnen. Schuld daran könnte das polyzystische Ovar-Syndrom (PCOS) sein. 
 
Die Patientin suchte vor rund 10 Jahren das erste Mal medizinische Hilfe. Damals wurden die wimpernähnlichen Haare entfernt, Tests zeigten zudem, dass die Frau einen ungewöhnlich hohen Testosteronspiegel hatte.
 
Frau (29) wachsen Haare auf den Zähnen
© oe24
 
Die Haare kamen aber wenig später wieder. Die Ärzte entnahmen dieses Mal auch eine Gewebeprobe. Dabei wurde ein Haarschaft gefunden, der in ihr Zahnfleisch drängte. Die Mediziner vermuten, dass das Schleimhautgewebe im Inneren des Mundes eng mit Stammzellen verwandt ist. Deshalb sei es möglich, dass dieses Gewebe dann Haarzellen bildet. Eine genaue Erklärung für die Anomalie gibt es jedoch nicht. Weltweit sind nur rund 10 vergleichbare Fälle bekannt.  
Fehler im Artikel gefunden? Jetzt melden.
OE24 Logo
Es gibt neue Nachrichten