Parasit fraß sich durch Hornhaut

Teenie hat lebendigen Wurm im Auge

Der Jugendliche ging mit Schmerzen zum Arzt und konnte es nicht fassen.

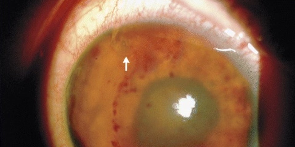
Als ein mexikanischer Teenager mit einem schmerzenden Auge ins Krankenhaus ging, erwartete er sich sicher nicht diese Diagnose. Der Arzt fand einen lebenden Wurm im Auge des jungen Patienten, der sich langsam durch die Iris bohrte. Das berichten mehrere spanischsprachige Medien.

Drei Wochen klagte der 17-Jährige über Sehstörungen. Die Hornhaut war geschwollen, entzündet und löchrig. Dann fanden die Ärzte den gefährlichen Parasiten.

 

Es handelt sich dabei um einen sogenannten Dactylogyrus, ein Ektoparasit, der sich eigentlich in den Kiemen von Fischen einnistet.

Der Wurm wurde operativ entfernt, aber damit endete das Drama für den jungen Mann nicht. Auch nach der OP und sechs Monaten Behandlung hat er seine volle Sehkraft am rechten Auge noch nicht zurückerlangt.

Fehler im Artikel gefunden? Jetzt melden.
OE24 Logo
Es gibt neue Nachrichten