Unfassbarer Fall

Die Ärzte dachten an Krebs, doch dann fanden sie DAS

Unglaublich, was die Ärzte in der Lunge des Patienten fanden.

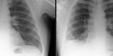
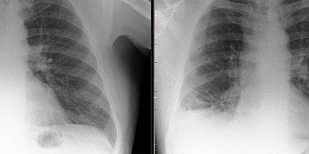
Ein 47-jähriger Brite ging mit starken Beschwerden ins Krankenhaus. Die Ärzte im Royal Preston Hospital hatten gleich einen schlimmen Verdacht: Die Symptome deuteten auf Lungenkrebs hin.

Als dann aber weitere Untersuchungen durchgeführt wurden, wurde schier Unglaubliches festgestellt. Auf einem Röntgen entdeckten die Ärzte in der Lunge einen kleinen, seltsamen Gegenstand.  

Die Ärzte dachten an Krebs, doch dann fanden sie DAS
© BMJ Case Reports

Das kleine Ding wurde in Folge operativ entfernt und entpuppte sich als Teil eines Playmobils. Der 47-jährige Patient soll dieses als 7-Jähriger beim Spielen verschluckt haben. Über 40 Jahre lang hatte dies für ihn aber keine spürbaren Konsequenzen.

Der ungewöhnliche Fall wurde in BMJ Case Reports veröffentlicht.

Fehler im Artikel gefunden? Jetzt melden.
OE24 Logo
Es gibt neue Nachrichten