Australien

Mann hatte parasitären Wurm im Fuß

Parasit ernährte sich von Fleisch, wurde am Röntgen entdeckt.

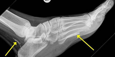
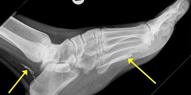
Einem 38-jährigen Mann haben Ärzte in Australien einen meterlangen Bandwurm aus dem Fuß entfernt. Der Parasit ernährte sich vom Fleisch, und soll mindestens 4 Jahre lang im Körper des Mannes gelebt haben. Auf Röntgenaufnahmen, die das St. Vincent's Hospital (Sydney) veröffentlicht hat, sind die Überreste des Fadenwurms deutlich zu sehen.

Befall durch verschmutztes Wasser
Der Migrant aus Guinea dürfte sich den Parasit durch den Konsum von verschmutztem Wasser in seinem Heimatland zugezogen haben, vermuten die Mediziner. Er suchte, nachdem sein Fuß angeschwollen war, das Spital auf. Dort machten die Ärzte die grausige Entdeckung. Der Patient gab an, dass sein Fuß bereits seit etwa einem Jahr Schmerzen bereite. Er befindet sich nach der erfolgreichen Operation auf dem Weg der Besserung.

Jahrelang unbemerkt
Einer der behandelnden Ärzte, Jonathan Darby, sagte zu Medien, dass sich diese Art von Parasiten jahrelang im Körper von Menschen befinden können, ohne Probleme zu machen. Deshalb würden sie oft erst spät entdeckt. Der sogenannte Medinawurm kommt im Südsudan, Guinea, Äthiopien und dem Chad vor.


VIDEO: ACHTUNG- nichts für zarte Gemüter: einem Mann wird ein Bandwurm aus dem Unterschenkel entfernt


Fehler im Artikel gefunden? Jetzt melden.
OE24 Logo
Es gibt neue Nachrichten