Wirkung nachgewiesen

Schock-Fotos auf Zigarettenpackerln in Belgien

Belgien führt als erstes Land in Europa Zigarettenpackerln mit Schock-Bildern ein. In Österreich bleibt vorerst die alte Verordnung.

In Österreich wird gerade die Nichtraucher-Debatte für alle Restaurants geführt, in Deutschland hat man sich bereits auf ein Rauchverbot in öffentlichen Räumen und Restaurants verständigt. Jetzt führt Belgien eine noch drastischere Maßnahme ein: Als erstes Land Europas versieht es Zigarettenschachteln neben schriftlichen Warnhinweisen auch noch mit schockierenden Fotos. Ob die Fotos auch nach Österreich kommen, ist noch nicht klar.

zigaretten1
© oe24

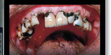
Von dieser Woche an dürfen Tabakkonzerne nur noch Pakerln mit solchen Bildern ausliefern. Die Einzelhändler haben nun bis Juni 2007 Zeit, um ihre Bestände vollständig durch bebilderte Packungen zu ersetzen. Die ersten stehen bereits in den Regalen. Bilder von Zahnruinen, zerfressenen Lungen und Tumoren werden künftig zu sehen sein.

zigaretten2
© oe24

EU schickte 42 Motive zur Auswahl
Die Initiative geht auf den früheren EU-Gesundheitskommissar David Byrne zurück, der den Katalog mit 42 Bildern 2004 an alle 25 EU-Regierungen geschickt hatte. Man müsse die Menschen „aus ihrer rauchseligen Zufriedenheit herausreißen“, mahnte er. Kaum eine Botschaft sei stärker als eine visuelle. In der EU sterben jährlich über eine halbe Million Menschen an den direkten und indirekten Folgen des Rauchens, wie die EU-Kommission ermittelt hat.

zigaretten3
© oe24

Die Belgier haben die Möglichkeit, zwischen unterschiedlich dramatischen Bildern zu wählen. Wer den Anblick des verkrebsten Halses nicht erträgt, kann im Laden beispielsweise nach einem Päckchen mit einem symbolischen verschrumpelten Apfel („Rauchen lässt Ihre Haut altern“) verlangen.

Bilder zeigen - geringe - Wirkung
Zigarettenschachteln mit Bildern sind unter anderem in Kanada, Brasilien, Singapur und Thailand im Umlauf. Eine vom kanadischen Institut für Gesundheitsforschung (CIHR) finanzierte Studie machte 2002 deutliche Auswirkungen aus: So erklärte jeder vierte befragte Raucher, sich wegen der Bilder schon mindestens einmal die Lust auf den Glimmstengel verkniffen zu haben.

zigaretten4
© oe24

Industrie gelassen
Bei Philip Morris (Marlboro, L&M), dem umsatzstärksten Hersteller auf dem belgischen Zigarettenmarkt, zeigt man sich gelassen: Die Umsätze hingen von zu vielen Faktoren ab, als dass man Vorhersagen über mögliche Auswirkungen treffen könne, so Sprecher Richard James. Der zweitgrößte Hersteller British American Tobacco (Lucky Strike, Kent) reagiert ähnlich: Man erwarte keine nennenswerten Einbrüche, so Wouter De Backer, Leiter für Unternehmens- und Rechtsfragen in Belgien. „Die Menschen werden sich an die Bilder gewöhnen, wie sie sich an die Texte gewöhnt haben“, meint er.

Gesundheitsministerium bleibt bei "Texten"
Das Gesundheitsministerium sieht keinen Bedarf, die bestehenden Regelungen zu ändern. Es gäbe unterschiedliche Expertenmeinungen über die Wirkung der Bilder, meint Sprecher Jürgen Beilein. In Österreich würden sich ziehmlich schnell die 'Überschubkartons' - welche die Bilder verdecken - durchsetzen, fügt er noch hinzu.

Fehler im Artikel gefunden? Jetzt melden.
OE24 Logo
Es gibt neue Nachrichten