Riesen-Geschwulst

Frau lebt mit 8,5-Kilo-Tumor – und weiß nichts davon

Die Deutsche lebte wohl schon ein ganzes Jahr mit dem Riesen-Geschwulst.

Im November des vergangenen Jahres klagte eine 65-jährige Frau aus Norddeutschland über starke Schmerzen im Oberbauch. Sie suchte zahlreiche Ärzte auf, die Mediziner konnten vorerst aber keine Ursache für ihre Beschwerden finden.

Der 65-Jährigen ging es dann aber immer schlechter, sie verlor 22 Kilo in nur drei Monaten. Schließlich führten die Ärzte in Bremen einen Ultraschall durch und entdeckten dort einen wahren Riesen-Tumor.

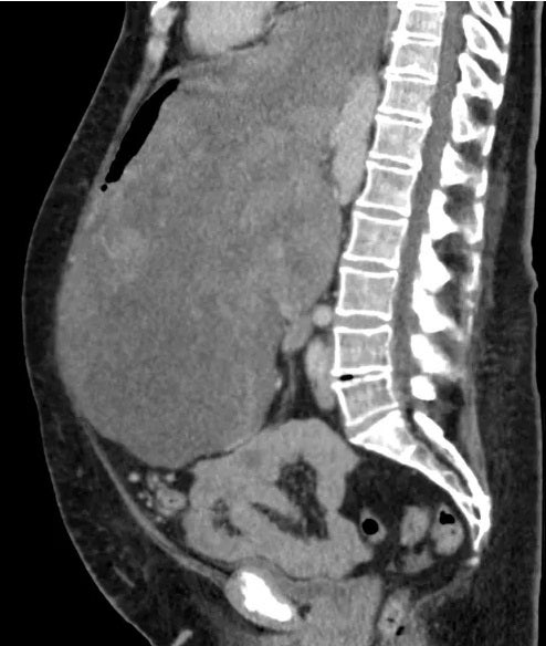
Tumor Bremen
© GENO

Einzigartiger Fall

Eine riesengroße Geschwulst drückte Leber, Magen und Darm an die Bauchdecke und ragte sogar in den Brustkorb hinein. Selbst Chefarzt Hüseyin Bektas war überrascht: „Ich kenne keinen solchen Fall in Europa, aber man müsste dazu in den medizinischen Datenbanken recherchieren.“

Schließlich wurde der Patientin der 8,5-Kilo-Tumor in einer aufwendigen 6-Stunden-Operation entfernt. Die Mediziner glauben, dass die Frau den Tumor bereits ein Jahr hatte, aber nichts davon wusste. Der 65-Jährigen geht es den Umständen entsprechend gut.

Fehler im Artikel gefunden? Jetzt melden.
OE24 Logo
Es gibt neue Nachrichten