Schockierender Fund

Chinese hatte 15 Jahre lang Bandwurm im Gehirn

Während einer Operation wurde Wang Lei ein 13 Zentimeter langer, noch lebender Bandwurm aus dem Gehirn entfernt – Dieser soll ganze 15 Jahre lang am Gehirn des Mannes gefressen haben.

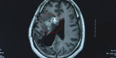
China. Bei einer zweistündigen Operation im "Guangdong Sanjiu Brain Hospital" in China entfernten Chirurgen einen 13 Zentimeter langen Bandwurm aus Wang Lei's Gehirn. Der Chinese wurde im Jahr 2007 aufgrund eines linksseitigen Taubheitsgefühl mit einem Hirntumor diagnostiziert. Erst 2018 fanden Ärzte den Ursprung der Symptome: ein Bandwurm, der sich über 15 Jahre im Gehirn des Mannes befand. Da der Wurm in einem sehr sensiblen Areal des Gehirnes entdeckt wurde, versuchten die behandelnden Ärzte den Parasiten mithilfe nicht invasiver Methoden zu entfernen. Unglücklicherweise fraß sich der Wurm immer weiter in das Gehirn von Wang Lei, sodass eine Operation unumgänglich wurde.

Chinese hatte 15 Jahre lang Bandwurm im Gehirn
© AsiaWire
Der Bandwurm nach der operativen Entfernung

"Die Operation war extrem riskant. Der lebende Bandwurm bewegte sich im Gehirn, was den Eingriff unglaublich erschwerte. Außerdem mussten wir den Parasiten vollständig entfernen, da etwaige Überbleibsel erneut wachsen hätten könnten", so Doktor Gu im Interview mit Lokalmedien. Der entfernte Wurm wurde der Gattung Sparganum mansoni zugeordnet – eine Bandwurmart, die vor allem in den Eingeweiden von Katzen und Hunden vorkommt.

Chinese hatte 15 Jahre lang Bandwurm im Gehirn
© AsiaWire
Doktor Gu, behandelnder Chirurg, im Interview mit lokalen Medien

"Es handelt sich auch nicht um den einzigen Fall dieses Jahres. Wir haben bereits vier Personen behandelt. Generell sollten die Leute vorsichtiger beim Kochen von Fröschen, Schnecken und Schlangen sein. Wasser sollte gründlich abgekocht werden", fügte Doktor Gu hinzu.

Fehler im Artikel gefunden? Jetzt melden.
OE24 Logo
Es gibt neue Nachrichten