Coronavirus

Völlig zerstört: So sieht die Lunge eines Corona-Toten aus

Knapp 488.000 Erkrankte und über 22.000 Menschen, die weltweit am Coronavirus gestorben sind. Nun zeigen Röntgenbilder und CT-Aufnahmen die völlige Zerstörung der Lunge durch das Virus.

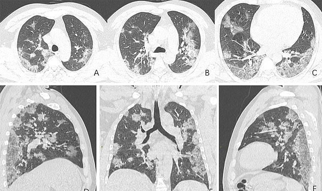
Röntgenbilder und CT-Aufnahmen, darunter die eines 44-jährigen Chinesen, der am Coronavirus gestorben ist, zeigen, wie die Krankheit die Lunge der Opfer verwüstet. Auf den Scans sind weiße Flecken zu sehen, die sich in den unteren Ecken der Lunge befinden. Radiologen bezeichnen das als Opazität des Grundglases - die teilweise Füllung von Lufträumen.

Solche Anomalien, die von Ärzten bei der Untersuchung von Coronavirus-Patienten entdeckt wurden, ähneln denen, die bei Patienten mit SARS und MERS festgestellt wurden.

"Die letzten Aufnahmen eines Toten"

Die schockierende Röntgenaufnahme eines Coronavirus-Opfers, der auf dem Wuhan-Fischmarkt arbeitete, welcher als Ursprung des Ausbruchs angesehen wird, zeigt deutlich die Abnormalität der Opazität des Grundglases.

Die von der Radiological Society of North America veröffentlichten Scans zeigen, wie die Flüssigkeit in den Lungenräumen des Mannes im Laufe der Zeit anwuchs.

Bild A bis Bild F

Röntgen-Coronavirus
© RNSA

Der Mann wurde am 25. Dezember 2019 ins Krankenhaus eingeliefert, nachdem er fast zwei Wochen lang an Fieber und Husten gelitten hatte. Die Ärzte diagnostizierten bei dem Mann eine Lungenentzündung und ein akutes Atemnotsyndrom. Obwohl er von Ärzten behandelt wurde, starb der 44-Jährige eine Woche später.

"Gleiche Füllung der Lufträume"

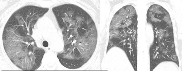
Die CT-Aufnahmen einer 54-jährigen Frau, die sich nach einer Reise nach Wuhan, China, das Coronavirus eingefangen hatte, zeigen teilweise die gleiche Füllung der Lufträume.

Röntgen Corona
© RSNA


Auch bei der Frau wurde eine schwere Lungenentzündung diagnostiziert, die durch das Virus verursacht wurde, nachdem sie eine Woche lang an Fieber, Husten, Müdigkeit und Brustkorbstauung gelitten hatte.
Fehler im Artikel gefunden? Jetzt melden.
OE24 Logo
Es gibt neue Nachrichten