Eklige Weltpremiere

"Lebendig und zappelnd": Wurm in Gehirn von Australierin entdeckt

In Australien klagte eine Frau über Bauchschmerzen, Husten und Vergesslichkeit. Bei einer OP fanden Ärzte in ihrem Hirn einen zappelnden Wurm – eine weltweite Premiere.

Spektakulärer Fund bei einer Operation in Australien: In einem Krankenhaus in Canberra haben Ärzte einen lebendigen, acht Zentimeter langen Rundwurm aus dem Gehirn einer 64-jährigen Frau entfernt. Bei dem Parasiten handle es sich um die Spezies Ophidascaris robertsi, die normalerweise nur in Pythons vorkomme, hieß es in einer neuen Studie im Fachmagazin "Emerging Infectious Diseases".

Der operierende Neurochirurg sei völlig perplex gewesen und habe Kollegen zurate gezogen, berichtete der australische "Guardian" am Dienstag. "Dies ist der erste menschliche Fall von Ophidascaris, der weltweit beschrieben wird", zitierten australische Medien Professor Sanjaya Senanayake, einen führenden Experten für Infektionskrankheiten des Canberra Hospital und Mitautor der Studie. "Unseres Wissens ist dies auch der erste Fall, bei dem das Gehirn einer Säugetierart, ob Mensch oder nicht, betroffen ist." Die Ärzte beschrieben den Wurm als "lebendig und zappelnd".

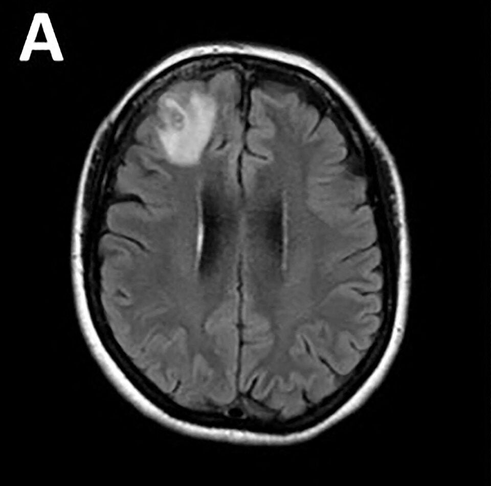
Wurm in Gehirn von Australierin entdeckt
© APA/AFP/THE AUSTRALIAN NATIONAL UNIVERSI/HANDOUT

Verschiedenste Symptome bei Patientin

Die Patientin aus dem Bundesstaat New South Wales hatte Anfang 2021 zunächst über wochenlange Bauchschmerzen und Durchfall gefolgt von trockenem Husten und Nachtschweiß geklagt. Ein Jahr später gehörten auch Vergesslichkeit und Depressionen zu ihren Symptomen. Die Frau wurde daraufhin ins Krankenhaus von Canberra überwiesen. Eine MRT-Untersuchung ihres Gehirns ergab schließlich Anomalien, die eine Operation nötig machten.

"Aber der Neurochirurg hat bestimmt niemals gedacht, dass er einen zappelnden Wurm finden würde", sagte Senanayake dem "Guardian". "Neurochirurgen haben regelmäßig mit Infektionen im Gehirn zu tun, aber das war ein einmaliger Fund - damit hatte niemand gerechnet."

Wie kam Wurm ins Gehirn?

Aber wie ist der Parasit in das Hirn der Australierin gelangt? Die Frau wohne in einem Seengebiet, in dem auch Teppichpythons lebten, hieß es. Obwohl sie keinen direkten Kontakt mit Schlangen gehabt habe, sammele sie häufig heimische Wildpflanzen und Gräser rund um die Seen, um sie zum Kochen zu verwenden. Die Forscher gehen davon aus, dass eine Python möglicherweise Parasiten-Eier über ihren Kot ins Gras ausgeschieden hat. Die Patientin habe sich wahrscheinlich infiziert, nachdem sie das Gras berührt und die Wurm-Eier auf Lebensmittel oder Küchenutensilien übertragen habe.

Eine Ophidascaris-Infektion werde allerdings nicht zwischen Menschen übertragen, betonten die Wissenschafter. "Daher wird der Fall dieser Patientin keine Pandemie wie Covid-19 oder Ebola auslösen."

Fehler im Artikel gefunden? Jetzt melden.
OE24 Logo
Es gibt neue Nachrichten