Appell der Patientin

Ärzte entfernten Zehn-Kilo-Tumor aus Bauch von Kärntnerin

73-Jährige konnte fünf Tage nach Eingriff Krankenhaus verlassen.

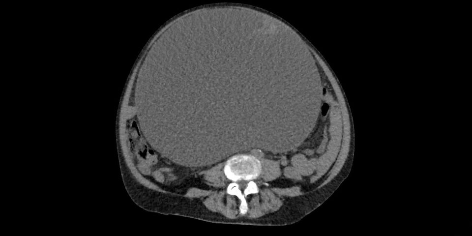
Klagenfurt. Ärzte des Klinikums Klagenfurt haben einen zehn Kilogramm schweren Tumor aus dem Bauch einer 73-jährigen Patientin entfernt. Wie der Krankenanstaltenbetreiber Kabeg am Donnerstag in einer Aussendung mitteilte, hatte die Frau wegen einer vermeintlichen Wasseransammlung in ihrem Bauch ihren Hausarzt konsultiert. Die Operation verlief erfolgreich - bereits fünf Tage nach der Operation konnte die 73-Jährige das Krankenhaus verlassen.

Die Diagnose im Klinikum Klagenfurt lautete auf Eierstockkrebs im Frühstadium. Die Entfernung des 10,2 Kilogramm schweren und im Durchmesser 30 Zentimeter großen Tumors verlief ohne Probleme: "Die Patientin benötigt weder eine Chemotherapie noch eine Strahlentherapie", erklärte Reinhard Mittermair, der Abteilungsvorstand der Allgemein- und Viszeralchirurgie am Klinikum Klagenfurt.

73-jährige Villacherin

Bei der Patientin handelt es sich um eine 73-jährige Villacherin, die anonym bleiben möchte. Das Behandlungsteam am Klinikum habe ihr stets ein Gefühl der Sicherheit vermittelt, sagte die Kärntnerin in der Aussendung. Und sie appelliert: "Bitte gehen Sie zum Arzt, wenn Sie Beschwerden haben, und scheuen Sie sich nicht, das Krankenhaus aufzusuchen."

Ärzte entfernten Zehn-Kilo-Tumor aus Bauch von Kärntnerin
© Klinikum Klagenfurt
Fehler im Artikel gefunden? Jetzt melden.
OE24 Logo
Es gibt neue Nachrichten